Advanced cosmetic and implant dentistry
Same-day crowns with CEREC®
24/7 support and new patient offers
Same-Day Repair for Damaged Teeth
Our Archdale office uses advanced CEREC® technology to create custom crowns in just one visit. After capturing 3D images of your tooth, we design and mill your porcelain restoration onsite, no temporaries or second appointments required. The result is a natural-looking crown that fits precisely, protects your tooth, and restores your smile in a matter of hours.




A Long-Term Solution for Extensive Tooth Loss
Snap-in dentures, also called overdentures, combine the stability of implants with the convenience of removable prosthetics. We place a series of implants in the upper or lower jaw, then design a denture that securely snaps into place. This approach prevents slippage, supports your facial structure, and makes cleaning simple, giving you a smile that looks natural and lasts for years to come.
Get Started With a Consultation
Our Archdale, NC, dental office makes every patient a priority. We take pride in providing top-quality care while making you feel comfortable and confident in your treatment.
Our practice is home to three outstanding dentists with expertise in multiple areas of dentistry. They continue to educate themselves on the latest techniques and technology to provide the best care, and they take pride in getting to know their patients so they can provide ideal results. Live in Greensboro or nearby? Contact our Archdale, NC, practice to request your initial consultation and learn how our experienced dental team can help you achieve the smile of your dreams.



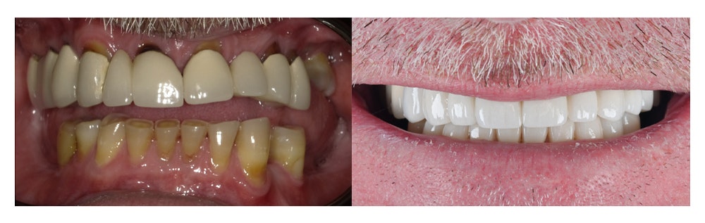
See Another Incredible Smile Transformation

At Triad Cosmetic Dentistry, we believe everyone should have a smile they are proud to share. We want to help patients in Greensboro and surrounding areas achieve their oral health and cosmetic goals. Our individualized treatment can address multiple dental concerns to help maintain, create, and restore a beautiful, healthy smile. Take the first step by visiting our Archdale, NC, dentists for a consultation.
Featured Procedures
Dental Implants
Dental implants are the preferred solution to missing teeth. The small titanium prosthetics are surgically placed into your jaw to provide a sturdy base for dental crowns, bridges, or dentures. Dental implants keep your lifelike restorations firmly in place and also prevent jawbone atrophy by replacing your tooth roots. Our dentists can place your implants and restorations at our Archdale, NC, practice, with no need for referrals.
Dentures
Our Archdale, NC, dental team offers traditional dentures, implant-supported dentures, and snap-on solutions for patients with extensive tooth loss. Implant-supported dentures provide greater stability and prevent bone loss by anchoring directly to your jaw. Snap-on dentures offer a secure, removable option that blends convenience with a natural look and feel. We’ll guide you through the right fit based on your needs and lifestyle.
Dental Crowns
A dental crown is a cap that fits over your tooth to protect it from damage or to conceal a range of cosmetic flaws. They can also be placed on top of dental implants to replace a missing tooth. Dental crowns look and function just like your natural teeth. Thanks to our advanced technology, we can create and place your dental crown in a single appointment.
Cosmetic Dentistry
Cosmetic dentistry at Triad Cosmetic Dentistry combines advanced techniques with personalized care to elevate your smile. From professional whitening to full smile makeovers, we tailor each treatment to your goals. Veneers are a popular choice for addressing chips, gaps, and discoloration and can deliver a dramatic transformation in just two visits. Let us help you achieve the confident smile you’ve always wanted.
A Complete List of Our Treatments
Cosmetic Dentistry
- Dental Bonding
- Porcelain Veneers
- Smile Makeover
- Teeth Whitening
General Dentistry
- Dental Checkups and Cleanings
- Dental Sealants
- Pediatric Care
- Sleep Apnea Treatment
- TMJ Treatment
- Orthodontics
- Invisalign
- Traditional Braces
- Periodontal Treatment
- Periodontitis Treatment
- PerioProtect
- Scaling and Root Planing
Restorative Dentistry
- All-on-4 Dental Implants
- Bone Grafting
- Bridges
- Crowns
- Dentures
- Dental Implants
- Extraction and Immediate Replacement
- Immediate Load Dental Implants
- Implant-Supported Dentures
- Root Canal Therapy

















